دکتر ایمپلنت اصفهان

نقش رژیم غذایی در بهبود بعد از جراحی لثه | بهترین دندانپزشک اصفهان-بهترین جراح لثه اصفهان-قیمت ایمپلنت دندان اصفهان| دکتر حسین برجیان

نقش رژیم غذایی در بهبود بعد از جراحی لثه

رژیم غذایی جراحی لثه، که معمولاً برای درمان بیماری‌های پریودنتال و بازسازی بافت‌های آسیب‌دیده انجام می‌شود، یکی از مراحل مهم در حفظ سلامت دهان و دندان است. پس از این نوع جراحی، بیماران نیاز به مراقبت‌های ویژه‌ای دارند تا روند بهبود سریع‌تر و مؤثرتری داشته باشند. یکی از عوامل کلیدی در این فرآیند، رژیم غذایی

بیشتر بخوانید
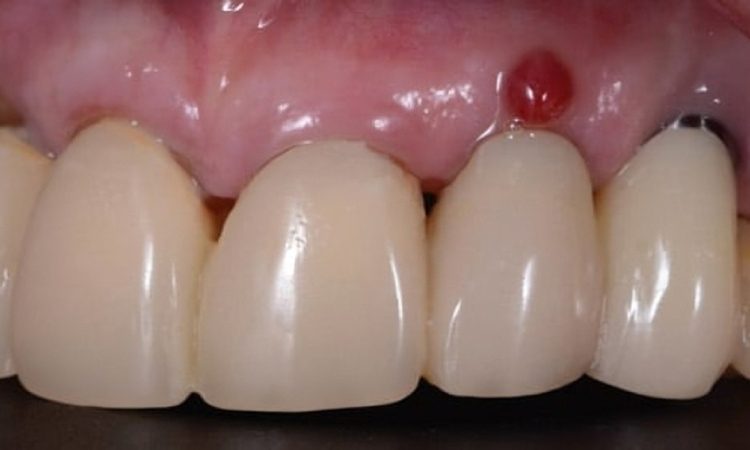
عوارض شایع بعد از جراحی لثه و راه‌های پیشگیری از آن‌ها | بهترین دندانپزشک اصفهان-بهترین جراح لثه اصفهان-قیمت ایمپلنت دندان اصفهان| دکتر حسین برجیان

عوارض شایع بعد از جراحی لثه و راه‌های پیشگیری از آن‌ها

جراحی لثه جراحی لثه یکی از روش‌های رایج در دندان‌پزشکی است که به منظور درمان بیماری‌های پریودنتال، اصلاح لثه و بهبود سلامت دهان انجام می‌شود. با این حال، مانند هر عمل جراحی دیگری، جراحی لثه نیز ممکن است با عوارضی همراه باشد. در این مقاله از سایت دکتر حسین برجیان (بهترین دندانپزشک اصفهان _ بهترین جراح

بیشتر بخوانید
چه بخوریم تا دندان‌ها و لثه‌ها سالم‌تر بمانند؟ | دکتر حسین برجیان (بهترین دندانپزشک اصفهان-بهترین جراح لثه اصفهان-بهترین دندانپزشک زیبایی اصفهان)

تکنیک‌های جدید در ترمیم بافت نرم لثه

ترمیم بافت نرم لثه ترمیم بافت نرم لثه یکی از چالش‌های مهم در دندانپزشکی و پریودنتولوژی است. با توجه به افزایش شیوع بیماری‌های پریودنتال و نیاز به بازسازی بافت‌های آسیب‌دیده، تکنیک‌های جدیدی در این زمینه توسعه یافته‌اند. این مقاله از سایت دکتر حسین برجیان (بهترین دندانپزشک اصفهان _ بهترین جراح لثه اصفهان)، به بررسی تکنیک‌های

بیشتر بخوانید
انواع، روش‌ها و مقایسه منابع مختلف پیوند استخوان | بهترین دندانپزشک اصفهان-بهترین جراح لثه اصفهان-قیمت ایمپلنت دندان اصفهان| دکتر حسین برجیان

انواع، روش‌ها و مقایسه منابع مختلف پیوند استخوان

پیوند استخوان پیوند استخوان یکی از روش‌های مهم در دندان‌پزشکی و جراحی‌های ارتوپدی است که به منظور ترمیم یا جایگزینی استخوان‌های آسیب‌دیده یا از بین رفته انجام می‌شود. این روش به ویژه در جراحی‌های ایمپلنت دندان و درمان‌های پریودنتال کاربرد دارد. در این مقاله از سایت دکتر حسین برجیان (بهترین دندانپزشک اصفهان _ بهترین جراح

بیشتر بخوانید
تأثیر بیماری‌های سیستمیک بر نتیجه جراحی لثه | بهترین دندانپزشک اصفهان-بهترین جراح لثه اصفهان-قیمت ایمپلنت دندان اصفهان| دکتر حسین برجیان

تأثیر بیماری‌های سیستمیک بر نتیجه جراحی لثه

جراحی لثه بیماری‌های سیستمیک به شرایطی اطلاق می‌شود که بر کل بدن تأثیر می‌گذارند و می‌توانند عملکردهای مختلف فیزیولوژیکی را تحت تأثیر قرار دهند. این بیماری‌ها نه تنها بر سلامت عمومی فرد تأثیر می‌گذارند، بلکه می‌توانند عوارض جدی در زمینه دندان‌پزشکی و به ویژه در جراحی‌های لثه ایجاد کنند. در این مقاله از سایت دکتر

بیشتر بخوانید
رابطه بین بهداشت دهان و سلامت لثه | بهترین دندانپزشک اصفهان-بهترین جراح لثه اصفهان-قیمت ایمپلنت دندان اصفهان| دکتر حسین برجیان

رابطه بین بهداشت دهان و سلامت لثه

بهداشت دهان و سلامت لثه بهداشت دهان و دندان یکی از جنبه‌های حیاتی سلامت عمومی است که تأثیر مستقیمی بر کیفیت زندگی افراد دارد. لثه‌ها، به عنوان بافت‌های نرم اطراف دندان‌ها، نقش مهمی در حمایت از دندان‌ها و حفظ سلامت دهان ایفا می‌کنند. بیماری‌های لثه، که به طور عمده ناشی از عدم رعایت بهداشت دهان

بیشتر بخوانید
تحقیقات جدید در زمینه ترمیم بافت لثه و استخوان | بهترین دندانپزشک اصفهان-بهترین جراح لثه اصفهان-قیمت ایمپلنت دندان اصفهان| دکتر حسین برجیان

تحقیقات جدید در زمینه ترمیم بافت لثه و استخوان

ترمیم بافت لثه و استخوان ترمیم بافت لثه و استخوان به عنوان یکی از چالش‌های مهم در دندان‌پزشکی و پریودنتولوژی شناخته می‌شود. بیماری‌های پریودنتال، که شامل التهاب و تخریب بافت‌های حمایت‌کننده دندان‌ها هستند، می‌توانند منجر به از دست رفتن بافت لثه و استخوان شوند. به همین دلیل، تحقیقات جدید در زمینه ترمیم این بافت‌ها اهمیت

بیشتر بخوانید
عوامل مؤثر در شکست ایمپلنت دندانی | بهترین دندانپزشک اصفهان-بهترین جراح لثه اصفهان-قیمت ایمپلنت دندان اصفهان| دکتر حسین برجیان

عوامل مؤثر در شکست ایمپلنت دندانی

شکست ایمپلنت دندانی ایمپلنت‌های دندانی به عنوان یکی از پیشرفته‌ترین و مؤثرترین روش‌ها برای جایگزینی دندان‌های از دست رفته شناخته می‌شوند. این روش نه تنها به بهبود عملکرد جویدن کمک می‌کند، بلکه به حفظ ساختار فک و زیبایی ظاهری نیز کمک می‌نماید. با این حال، شکست ایمپلنت دندانی می‌تواند عواقب جدی برای بیماران داشته باشد.

بیشتر بخوانید
جدیدترین تکنولوژی‌های دندان‌پزشکی | دکتر حسین برجیان (بهترین دندانپزشک اصفهان-بهترین جراح لثه اصفهان-بهترین دندانپزشک زیبایی اصفهان)

چالش‌ها و راه‌حل‌ها ایمپلنت دندانی در بیماران دیابتی

ایمپلنت دندانی در بیماران دیابتی ایمپلنت دندانی به عنوان یکی از روش‌های مؤثر و پایدار برای جایگزینی دندان‌های از دست رفته در دندان‌پزشکی مدرن شناخته می‌شود. با این حال، بیماران دیابتی به دلیل تغییرات متابولیک و عوارض ناشی از بیماری خود، در معرض چالش‌های خاصی در زمینه کاشت ایمپلنت دندانی هستند. این مقاله از سایت

بیشتر بخوانید
نقش باکتری‌ها در عفونت ایمپلنت دندانی | بهترین دندانپزشک اصفهان-بهترین جراح لثه اصفهان-قیمت ایمپلنت دندان اصفهان| دکتر حسین برجیان

نقش باکتری‌ها در عفونت ایمپلنت دندانی

عفونت ایمپلنت دندانی ایمپلنت‌های دندانی به عنوان یکی از راهکارهای مؤثر در جایگزینی دندان‌های از دست رفته شناخته می‌شوند. با این حال، عفونت‌های مرتبط با ایمپلنت یکی از چالش‌های مهم در دندان‌پزشکی است که می‌تواند منجر به شکست ایمپلنت و عوارض جدی برای بیماران شود. این مقاله از سایت دکتر حسین برجیان (بهترین دندانپزشک اصفهان

بیشتر بخوانید
error: Content is protected !!
سوالی دارید? چت در واتساپ